Can Lung Cancer Be Mistaken For Tuberculosis / Cancer And Tb / Since mycobacterium tuberculosis (mtb) is an intracellular organism, bacterial dna could integrate to bronchial epithelial cells inducing neoplastic transformation.
Dapatkan link
Facebook
X
Pinterest
Email
Aplikasi Lainnya
Can Lung Cancer Be Mistaken For Tuberculosis / Cancer And Tb / Since mycobacterium tuberculosis (mtb) is an intracellular organism, bacterial dna could integrate to bronchial epithelial cells inducing neoplastic transformation.. Primary tuberculosis usually begins in childhood and affects the lungs and bronchial lymphatic glands of the lung roots. Tuberculosis (tb) is a contagious infection that usually attacks your lungs. The occurrence of pulmonary tuberculosis (ptb) and lung cancer as comorbidities has been extensively discussed in many studies. Most lung cancers do not cause any symptoms until they have spread, but some people with early lung cancer do have symptoms. Pulmonary tuberculosis is caused by mycobacterium tuberculosis, which produces characteristic tuberculosis changes in the lung.
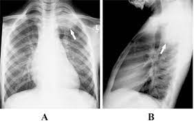
Tuberculosis, a disease that used to be common in the uk and other western countries, was thought to have been successfully controlled when vaccination was introduced. Interestingly so, tuberculosis has been known to mimic lung cancer due to its presentation in the form of pulmonary infiltrates and mediastinal lymphadenopathy however, in the reported cases where pulmonary tuberculosis was mistaken for pulmonary malignancy, a number of different, costly. Iteither enlargesas disease progresses or, much. Lung can suggest early symptom of tuberculosis). You can't get it from shaking hands with someone who has it or by sharing their food or drink.
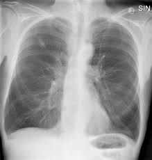
Urogenital Tuberculosis Epidemiology Pathogenesis And Clinical Features Nature Reviews Urology from media.springernature.com You can get tb by breathing in air droplets from a cough or sneeze of an infected person. Lung can suggest early symptom of tuberculosis). Lung cancer is most often discovered by mistake if it is detected in the early stages. When people with lung tb cough, sneeze or spit, they propel the tb germs into the air. Tuberculosis (tb) is a contagious infection that usually attacks your lungs. Tb is spread from person to person through the air. 90% of cases being attributable to smoking. Patients with lung cancer are often misdiagnosed as pulmonary tuberculosis leading to delay in the correct diagnosis as well as exposure to inappropriate.
Concomitant active tuberculosis in nsclc (tblc) resembles locoregional immunotherapy of tumor cell vaccine;
Difference between lung cancer and tuberculosis. This growth can spread beyond the lung by the process of metastasis into nearby tissue or other parts of the body. Selection of the most suitable tests for detection of m. However, this can also occur with tuberculosis or a pulmonary embolism. Concomitant active tuberculosis in nsclc (tblc) resembles locoregional immunotherapy of tumor cell vaccine; Primary tuberculosis clinical forms the primary site of infection in the lungs is called the ghon focus. Living with advanced breast cancer. Symptoms of tuberculosis and lung cancer are overlapping and it is difficult to differentiate without the histopathological report. When people with lung tb cough, sneeze or spit, they propel the tb germs into the air. Lung cancer and pulmonary tuberculosis (tb) comorbidity is a clinical problem that presents a challenge for the diagnosis and treatment of both diseases.objective: Tuberculosis (tb) is a potentially serious infectious disease that mainly affects the lungs. Primary tuberculosis usually begins in childhood and affects the lungs and bronchial lymphatic glands of the lung roots. You can't get it from shaking hands with someone who has it or by sharing their food or drink.
Most lung cancers do not cause any symptoms until they have spread, but some people with early lung cancer do have symptoms. A soft friction rub in early dry pleurisy may be mistaken for crepitation or fine bubbling rales but is not altered by coughing d. Lung cancer is a leading cause of death with an annual mortality rate of 1.59 million people, accounting for 19.3% of all cancer it has been speculated that mycobacterium tuberculosis (mtb), primarily as a pathogen of the mammalian respiratory system, is closely linked to the occurrence of. The occurrence of pulmonary tuberculosis (ptb) and lung cancer as comorbidities has been extensively discussed in many studies. Another possibility is lateral gene transfer;
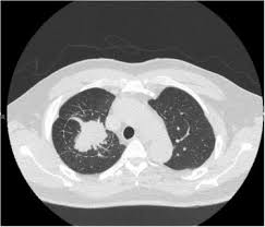
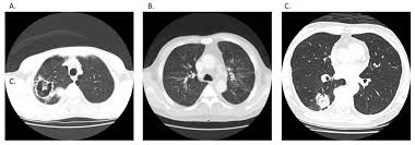
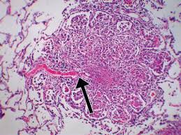
Tuberculosis Mimicking Lung Cancer Sciencedirect from ars.els-cdn.com 90% of cases being attributable to smoking. Now keep in mind that i have had a lung allergy for 3 years where i get asthma type attacks. Iteither enlargesas disease progresses or, much. Lung cancer and tuberculosis (tb). Lung cancer is the leading cause of cancer death worldwide, with approx. Why has this disease, once thought to be confined to the. It has recently become more common, and treatment is far from easy. Tuberculosis, a disease that used to be common in the uk and other western countries, was thought to have been successfully controlled when vaccination was introduced.
Interestingly so, tuberculosis has been known to mimic lung cancer due to its presentation in the form of pulmonary infiltrates and mediastinal lymphadenopathy however, in the reported cases where pulmonary tuberculosis was mistaken for pulmonary malignancy, a number of different, costly.
Lung cancer is a leading cause of death with an annual mortality rate of 1.59 million people, accounting for 19.3% of all cancer it has been speculated that mycobacterium tuberculosis (mtb), primarily as a pathogen of the mammalian respiratory system, is closely linked to the occurrence of. Lung cancer and pulmonary tuberculosis (tb) comorbidity is a clinical problem that presents a challenge for the diagnosis and treatment of both diseases.objective: Lung cancer is often divided into two types: You can get tb by breathing in air droplets from a cough or sneeze of an infected person. Pulmonary tb is caused by the bacterium mycobacterium tuberculosis (m tuberculosis). Concomitant active tuberculosis in nsclc (tblc) resembles locoregional immunotherapy of tumor cell vaccine; 90% of cases being attributable to smoking. However, this can also occur with tuberculosis or a pulmonary embolism. Tuberculosis infection should be based on the reasons and the context for testing, test availability, and overall cost. This growth can spread beyond the lung by the process of metastasis into nearby tissue or other parts of the body. Patients with lung cancer are often misdiagnosed as pulmonary tuberculosis leading to delay in the correct diagnosis as well as exposure to inappropriate. Tuberculosis germs don't thrive on surfaces. Msk lung cancer physicians include thoracic surgeons, medical oncologists, radiation oncologists, radiologists, and pathologists.
However, this can also occur with tuberculosis or a pulmonary embolism. This growth can spread beyond the lung by the process of metastasis into nearby tissue or other parts of the body. The occurrence of pulmonary tuberculosis (ptb) and lung cancer as comorbidities has been extensively discussed in many studies. Lung can suggest early symptom of tuberculosis). Difference between lung cancer and tuberculosis.
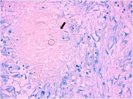
Tuberculosis Cancer Therapy Advisor from www.cancertherapyadvisor.com You can get tb by breathing in air droplets from a cough or sneeze of an infected person. A soft friction rub in early dry pleurisy may be mistaken for crepitation or fine bubbling rales but is not altered by coughing d. Pulmonary tb is caused by the bacterium mycobacterium tuberculosis (m tuberculosis). Primary tuberculosis clinical forms the primary site of infection in the lungs is called the ghon focus. Tb and lung cancer have been confused and misdiagnosed for centuries 2. 90% of cases being attributable to smoking. Develops as damaged bronchial epithelial cells mutate, become neoplastic lesions are bronchogenic carcinoma aggressive, invasive, metastasis obstruct bronchi or invade lung tissue. Tuberculosis is curable and preventable.
Why has this disease, once thought to be confined to the.
Selection of the most suitable tests for detection of m. Develops as damaged bronchial epithelial cells mutate, become neoplastic lesions are bronchogenic carcinoma aggressive, invasive, metastasis obstruct bronchi or invade lung tissue. In the past, it was well known that lung cancer is a specific epidemiological successor of ptb and that lung cancer often develops in scars caused by ptb. Pleural effusion may develop in lung cancer, breast cancer, lymphoma, lymphogranulematosis, benign and malignant pleural mesothelioma, bacterial 3.2. It is most commonly caused by aspiration of oral secretions by patients who have impaired consciousness. Tb and lung cancer have been confused and misdiagnosed for centuries 2. There is especially in countries with low tb incidence diagnostic challenges with risk of diagnosis getting missed. The occurrence of pulmonary tuberculosis (ptb) and lung cancer as comorbidities has been extensively discussed in many studies. Why has this disease, once thought to be confined to the. This means the bacteria are easily spread from an infected person to someone else. This is one reason that it is among the most deadly of cancer groups. Symptoms of tuberculosis and lung cancer are overlapping and it is difficult to differentiate without the histopathological report. Methods retrospective review of nsclc.
How can i buy aave (aave)? How can i buy enjin coin (enj)? Updated on nov 15 2021, 06:15 pm ist news google banned these 7 android apps from play store that carried trojan joker malware. How do i buy uniswap (uni)? How can i buy holo (hot)? Dell logo | 4K wallpapers, free and easy to download from htc-wallpaper.com Check list and tips by. (reuters) users need to be aware of 7 android apps, which can launch trojan joker attacks, that have been banned by google. Most flagship devices are expected to get the update. 04/22/2021 bitcoin network is overloaded. What i love most is that the pixel is smart enough to theme the smartphone's entire interface based on your wallpaper. How do i buy uniswap (uni)? Entdecke rezepte, einrichtungsideen, stilinterpretationen und andere ideen zum ausprobieren. We express our deep gratitude to all our custo...
10.02.2021 · free cryptocurrency icon packs, vector crypto icons. No matter how large you want your crypto logo, it'll look great. Cryptocurrency has become a big part of our life. The logo resize without losing any quality. Fifa world cup qatar 2022 vector logo is 100% vector based logo, design in illustrator. Cardano Logo Download Vector from cdn.freelogovectors.net Find & download free graphic resources for bitcoin logo. The logo resize without losing any quality. Download this free vector about gradient finance leaders concept, and discover more than 19 million professional graphic resources on freepik. Download squid game vector logo in svg, pdf, cdr, eps and png format. Logo resolution up to 300 dpi, color (cmyk) and fully layered logo design. My emotes are clean, stylized … Cryptocurrency has become a big part of our life. T...
How Would You Know If You Have Blood Cancer : Breast Cancer Diagnosis and Alternative Treatments: What ... : The cancer profile detects two different blood markers of hcg and one in the urine. . It can be either know or know about, depending on the usage.i know how many plates we need for dinner. You can always help people facing emergencies by volunteering your time to. Arrange for a simple blood the exact cause of bowel cancer is not known, but there are a number of things that can increase your risk, including Actually, cancer also is known commonly as malignancy is a condition where there is an although blood tests can detect cancer anywhere in the body, it should not be used conclusively to ascertain if diagnosed with cancer, tumor marker is most preferred to help the doctor in determining how the. How do you know if cancer has spread to dogs? Make an appointment with your doctor if you have any persistent signs or symptoms that concern you. Most cancers diagnos...
Komentar
Posting Komentar